www.NazarNews.kg NazarNews - дүйнө назарында! www.NazarNews.kg NazarNews - в центре мирового внимания! www.NazarNews.kg NazarNews - ترى العالم في عينيك www.NazarNews.kg NazarNews - 你眼中的世界! www.NazarNews.kg NazarNews - dünya gözünüzde! www.NazarNews.kg NazarNews - The world in your eyes! www.NazarNews.kg Биздин байланыш: +996 779 028 383 www.NazarNews.kg Email: [email protected] www.NazarNews.kg WhatsApp кабар: +996 779 028 383 www.NazarNews.kg

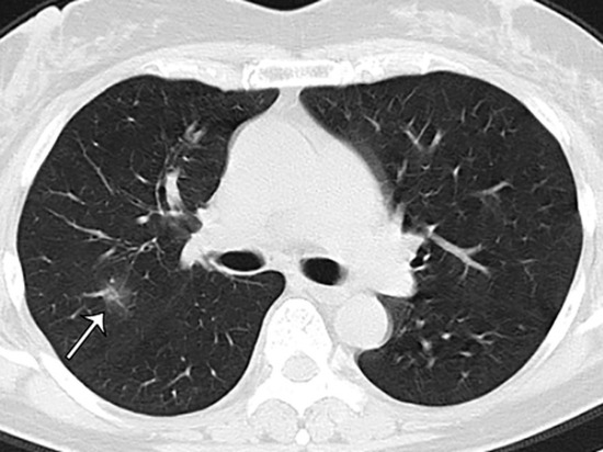
Коронавирустун белгилери байкалбаган бейтаптарда өпкөнүн жабыркашы аныкталды. Япониялык окумуштуулар Diamond Princess лайнериндеги 104 кишиден COVID-19 жуккан жүргүнчүлөрдүн абалын анализдешкен. Алар компьютердик томографиянын натыйжаларын изилдеп чыгышып, ушундай натыйжага келишкен. Бул тууралуу  МК.RU жазып чыкты.

Маалыматка ылайык, Diamond Princess кемесинин 104 жүргүнчүсүнүн ичинен 76 адамда (73%) коронавирус илдетинин белгилери байкалган эмес. Алардын ичинен 41 кишиден компьютердик томографиясынын жыйынтыгында илдетке чалдыккан адамдардын өпкөлөрүндө өзгөрүү бар экендиги белгилүү болгон.

Баса, илдетти жуктургандардын башка тобунда эң көп таралган белгилер: жөтөл (20%), дене табынын жогорулашы (11%), жана алсыроо (10%) катталган.

Япон окумуштууларынын айтымында, коронавирустун белгилери адамда байкалбаса дагы илдетке чалдыккан бейтапка өз кесепетин  тийгизет.

Эске сала кетсек, Россиялык дарыгерлер коронавирус адамдын өпкөсүндө кантип кыймылдай тургандыгын видеого тартып алышкан.

Бул видео коронавирус өпкөгө кандай зыян келтиргендиги жана кантип кыймылдай тургандыгын көрсөткөн эң жөнөкөй жана түшүнүктүү, өтө маанилүү жана кызыктуу материал болуп саналат.

 

Кошумчалай кетсек, коронавируска чалдыккан айрым кишилерде илдеттин белгилери байкалбаганы менен оору алардан башкаларга жугаарын Кытайлык окумуштууларын аныкташкан. 

Булак: NazarNews.kg

Последние новости